ЭКОЛОГИЧЕСКОЕ ИНФОРМАГЕНТСТВО
Новости экологии России и зарубежья

Биологи обнаружили новый вид почвенной амебы

Она обитает в черневой тайге Западной Сибири

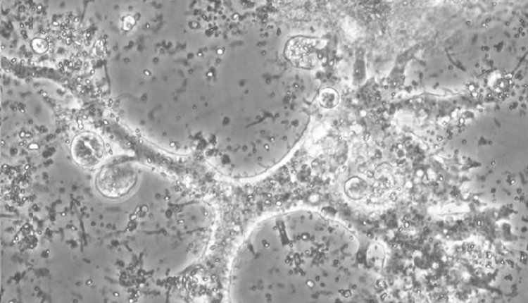
Ученые из Санкт-Петербургского государственного университета совместно с коллегами из Томска и Новосибирска обнаружили новый вид почвенной амебы Leptomyxa silvatica n. sp. в черневой тайге Западной Сибири.

Как сообщает пресс-служба СПбГУ, черневая тайга (так называемые сибирские джунгли) — регион Западной Сибири, включенный в реестр уникальных экосистем Всемирного фонда дикой природы. Этот регион отличается исключительным биоразнообразием.

Как отметила профессор СПбГУ и руководитель проекта Алла Лапидус, первое, что привлекает внимание в черневой тайге — совершенно необъясненный гигантизм трав. К примеру, летом травяной покров «сибирских джунглей» имеет среднюю высоту 1,5–2 метра.

— Мне пришла в голову идея, что этот гигантизм является результатом влияния не столько климатических условий, сколько, скорее всего, объясняется уникальными свойствами микробиоты почвы. И если в этом феномене хорошо разобраться, то вполне возможно это открытие можно будет использовать в сельском хозяйстве. У нас уже есть некоторые подтверждения данной гипотезы, — заявила Алла Лапидус.

Проект по изучению черневой тайги проводится в сотрудничестве с коллегами из Томского государственного университета. В проекте также участвуют сотрудники Всероссийского научно-исследовательского института сельскохозяйственной микробиологии, Института молекулярной и клеточной биологии СО РАН, Центрального сибирского ботанического сада СО РАН. Ученые проводят исследования в регионе Западной Сибири, уникальные свойства которого никем ранее не изучались столь многосторонне.

— Ученые проводили также исследования протозойного компонента почвы, в частности разнообразия амебоидных протистов, играющих очень важную роль в жизни почвенных микроорганизмов, круговороте вещества и энергии в почвенных местообитаниях. Нашими коллегами, участниками проекта из СПбГУ, были сделаны очень интересные находки, одной из которых является обнаружение нового вида амеб, — уточнила профессор.

Доцент кафедры зоологии беспозвоночных СПбГУ Алексей Смирнов подчеркнул, что в рамках этого исследования был обнаружен ряд редких или вообще новых для науки видов амеб. Один из них — новый вид из отряда Leptomyxida, последовательность нуклеотидов в гене 18S рибосомальной РНК которого существенно отличается от уже всех известных видов. У нового вида амеб имеются и характерные морфологические отличия. Амеба получила название Leptomyxa silvatica (от латинского слова silva — лес). Полное название нового вида означает «происходящий из леса».

— Эта находка еще раз говорит о том, как мало мы знаем об огромном мире микроскопических животных. Численность гетеротрофных одноклеточных организмов в почвах может достигать огромных величин — десятков тысяч клеток в единственном грамме почвы. Они являются важнейшим природным компонентом, регулирующим численность почвенных грибов и бактерий. На морфологическом уровне нам известна лишь небольшая часть всего этого разнообразия. Исследования молекул ДНК, выделенных прямо из различных типов почв, показывают, что «своими глазами» мы видели не более 5 % обитающих там организмов. Неоткрытыми остаются не только отдельные виды, но целые крупные группы почвенных простейших. По этой причине так важны современные молекулярно-морфологические исследования, которые показывают нам, кому принадлежат обнаруженные сиквенсы и кто же на самом деле живет у нас в прямом смысле слова под ногами и вносит свой немаленький вклад в процессы, происходящие в почвах черневой тайги, — заключил Алексей Смирнов.

Комментарии закрыты.

Продолжая использовать наш сайт, вы даете согласие на обработку файлов cookie, которые обеспечивают правильную работу сайта. Принимаю Читать больше

X