ЭКОЛОГИЧЕСКОЕ ИНФОРМАГЕНТСТВО
Новости экологии России и зарубежья

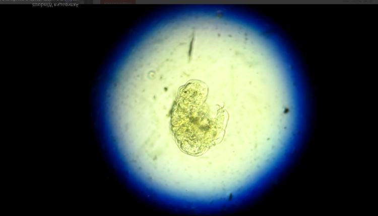
В Чувашском заповеднике обнаружили неубиваемое животное

Ученые сняли на видео микроскопическое беспозвоночное – тихоходку, обитающую в местном водоеме

В чувашском заповеднике «Присурский» в небольшом водоеме на Батыревском участке ученые обнаружили тихоходку. Еще это микроскопическое животное называют медвежаткой или водяным медведем.

Ведущий научный сотрудник Валентина Подшивалина сняла существо на видео и сообщила, что обнаруженная ею тихоходка размером около 0,4 мм.

Несмотря на свои маленькие размеры, водяные медведи считаются самыми неубиваемыми животными. Живут они от трех — четырех месяцев до двух лет (что не мало для таких крохотных существ), и за этот срок их практически никто и ничто не может убить, они феноменально живучи.

— Животным–супергероям  нипочем горячая вода и жидкий азот, жесткая радиация, отсутствие влаги и кислорода. Они выдерживают почти полное высушивание, причем неоднократное. Водяные медведи оживали после семи последовательных высушиваний. Их даже отправляли в открытый космос, и они возвращались целыми и невредимыми, — говорится в сообщении ТГ-канала «Присурского» заповедника.

По информации Википедии, тихоходки выдерживают: 30-летнее пребывание при температуре – 20 ℃, 20 месяцев в жидком кислороде при −193 °C, восьмичасовое охлаждение жидким гелием до −271 °С; они выдерживают нагрев до 60—65 °С в течение 10 часов и до 100 °С в течение часа.

Доза ионизирующего излучения в 570 тысяч бэр убивает примерно 50 % облучаемых тихоходок. Для человека полусмертельная доза радиации составляет всего 500 бэр.

Коллаж из открытых источников

Комментарии закрыты.

Продолжая использовать наш сайт, вы даете согласие на обработку файлов cookie, которые обеспечивают правильную работу сайта. Принимаю Читать больше

X